Na semana em que se comemora o Dia do Trabalhador, apresento uma série de retratos que fiz nos últimos cinco anos ao serviço da...
Mal despontam os primeiros alvores da manhã, são as primeiras aves aquáticas a fazerem-se ouvir, embora discretas e de hábitos um pouco secretivos, observam-se...
Agradeço ao meu amigo José Carlos Faria a resposta, com que me sinto lisonjeado, relacionada com a entrada do futuro hotel dos Pavilhões, pelo...
Donald Trump ameaçou a União Europeia com um aumento das taxas alfandegárias a vários produtos, entre os quais o vinho. O precioso néctar tem...
Venho por este meio denunciar uma situação que se passa na Rua dos Artistas nas Caldas da Rainha.
Esta rua tornou-se na casa-de-banho dos cães....
Excluindo os troços entre a Malveira e Lisboa, é entre a ligação ao IP6 e Óbidos que a via tem mais trânsito. No mês...
Foi com agrado que tive oportunidade de o conhecer, em junho de 2018, na sessão de inauguração da Clínica de Hemodiálise da Benedita, presidida...
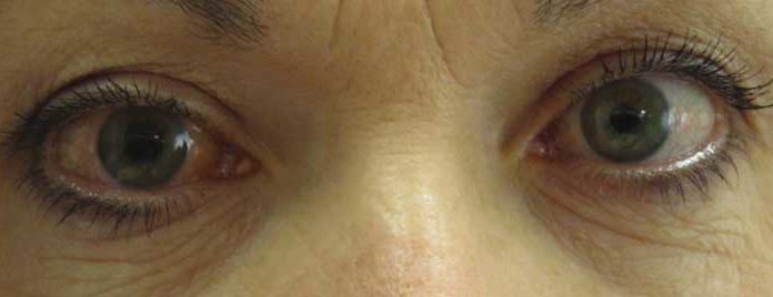
É uma doença grave. Uma doença que pode roubar a visão e que o faz, muitas vezes, sem grandes avisos prévios. A Sociedade Portuguesa...
Na verdade, a obesidade é uma doença multifatorial, que não depende apenas da alimentação ou do exercício físico. Existem diversos factores psicológicos, ambientais e...
Tem-se verificado um aumento significativo no número de pacientes idosos altamente dependentes e que necessitam de cuidados contínuos. Assim, é extremamente importante que os...
Na madrugada de 22 de Abril, um carro despistou-se na rotunda da EDP e galgou passeios, acabando por destruir uma clínica dentária.Luís Dias, da...
Este ano ainda não falámos sobre a revolução do 25 de Abril nas aulas, mas lembro-me de ter falado em anos anteriores. O que...
A greve dos motoristas de transporte de matérias perigosas causou grande alarme no país entre os dias 16 e 18 de Abril e a...
Habitualmente treinam em ganadarias, em Vila Franca de Xira, no Alentejo, ou até em Espanha, mas no passado sábado o Grupo de Forcados das...
Amanhã, 27 de Abril, a partir das 11h00, realiza-se um projecto piloto que propõe uma imersão na Praça da Fruta para criar logótipos e...
Teve início a obra de reabilitação das zonas envolventes de quatro bairros sociais de Peniche. A empreitada começou pelo bairro Coosofi e vai depois...
A Comissão de Utentes do CHO necessita de mais gente, diz o seu representante, Vítor Dinis, que tem vindo a assistir à saída de...
Aos 21 anos João Diniz pouco mais conhecia que as Cruzes, as Caldas da Rainha e Lisboa. Mas puseram-no num avião para a Alemanha...
Os painéis de azulejos das estações do Oeste estão a ser alvo de trabalhos de conservação e restauro. Os trabalhos têm vindo a ser...
A Nazaré é destacada este ano como “Marca Estrela” no turismo, de acordo com a consultora Bloom Consulting, que classifica o desempenho dos municípios...
Está a decorrer até 5 de Maio o Caldas Jovem, um programa de actividades de animação, desporto e formação dedicado aos mais novos. A...
De 1 de Maio a 1 de Junho decorre nas Caldas a terceira edição do Flower Bike City, um evento organizado pela ACCCRO que...
No próximo dia 30 de Abril, pelas 15h00, vai realizar-se no auditório da Câmara Municipal um debate sobre a violência doméstica, promovido pela Delegação...
Depois do bronze, Cristiano Ronaldo surge agora representado em chocolate. O futebolista português a jogar na Juventus é uma das 10 esculturas que se...
Os jovens vão voltar a faltar às aulas pela defesa do clima. A próxima greve está marcada para o dia 24 de Maio e...
A Câmara do Cadaval lançou o seu orçamento participativo, dando aos munícipes a possibilidade de priorizar onde se devem aplicar 60 mil euros.Até 2...
Teve lugar a 30 de Março a Assembleia Geral da Misericórdia de Alfeizerão, que contou com 30 participantes e na qual se discutiu, entre...
Amanhã, 27 de Abril, a partir das 22h00, realiza-se a quarta edição do São Gregório Fashion Models – Desfile de Moda Intergeracional no Salão...
Está cada vez mais próximo o concretizar da nova casa do Teatro da Rainha, um processo iniciado há cerca de 15 anos. Depois do...





















